SPECIALTIES

My specialty is striving for perfection by focusing on the details.
This determination of mine is primarily apparent in the fields of aesthetic and cosmetic dental procedures as well as in special techniques for dental implants.
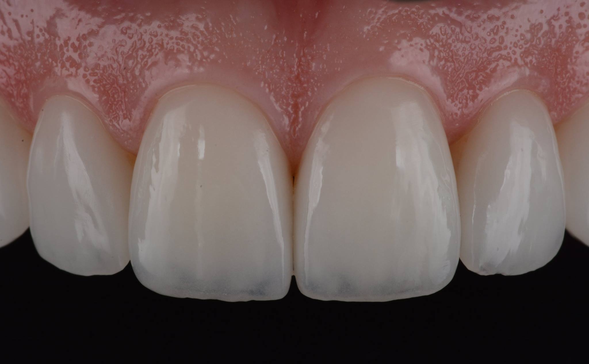
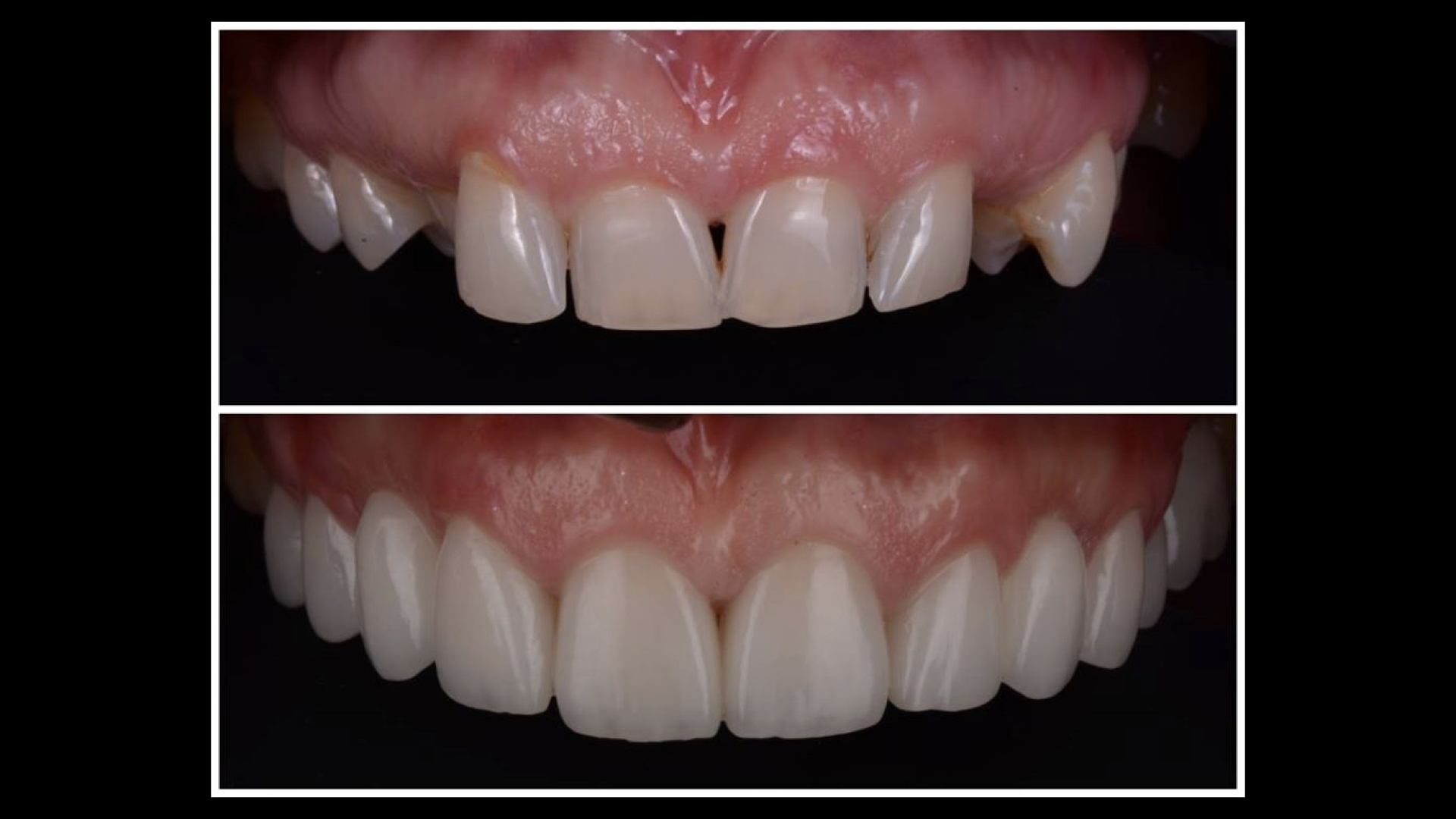
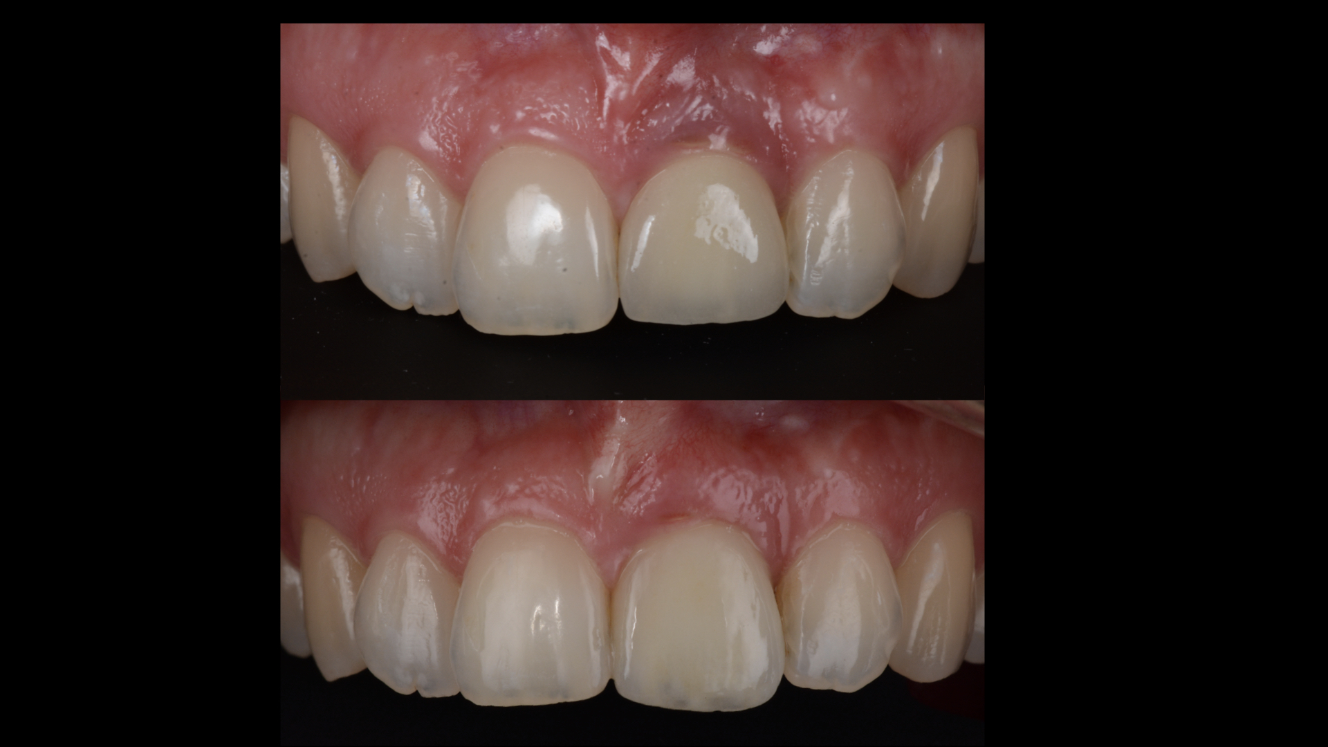
Smile makeover:
Thanks to 20 years of experience in metal-free ceramic restorations and 15 years of membership in the American Academy of Cosmetic Dentistry, I may be accounted as the most experienced Hungarian specialist on a national and international scale. The foundation of my approach is to create a harmony of aesthetics and function and to ensure the extended longevity of the applied high- end ceramic veneers.
Besides that, I consider the precision of treatments, the procedures under high magnification and an approach of minimal invasion to be the most important. Consequently, I use surgical loupes and a microscope for each procedure. The artistic workmanship of the applied ceramic veneers is ensured by Western European specialists and the only Dental Technician Guild Member in Hungary.



Complete Reconstructions:

consider myself fortunate to still have had the opportunity of learning from Pete Dawson, the father of complex functional approach, in Florida. Since 2005, I have had the opinion that it is only worthy to regard teeth, their function and aesthetics in a comprehensive manner. If there is a deficiency or alteration in any of the above, I search for the causes, handle them and this way I make the necessary adjustments to achieve the desired state. The proposed treatment can sometimes be unexpected for the patient but the ones thinking responsibly accept that there is no other way for me. (Nor for them in their own interests...).
Implantation:

I think that everyone is capable of placing an implant into the bone. Considerably fewer people can do it in the right place and extremely few know how to restore them perfectly. Implantations and their restorative treatment in the aesthetic zone mean the greatest challenge. Mainly the latter one is my specialty and the subject of my presentations worldwide.
The second key aspect of implantation is the amount and quality of the bone. A sufficient amount and good quality of bone are necessary for a perfect result, however, these are rarely available straightaway. In these cases bone augmentation is required, which demands a high level of professional expertise as well. Nowadays, advanced techniques are available, which help avoid (or minimize) tooth-extraction- related bone loss and the immediate implant placement approach is a great opportunity for a well-trained dentist. This way the number of operations can be minimized and the necessary time for recovery can be reduced. As the newest innovation, digitally designed surgical guides and immediate loading solutions ease the lives of patients.
These are all key elements of my presentations and daily work.
Perio-plastic (gum) surgery:

The health of teeth and implants is mainly supported by the bone and gum tissue. By improving the quality and amount of soft tissue, a much healthier, more stable (permanent) and aesthetic environment can be ensured for the teeth. These treatments are amongst my specialties as well.
Fizetési feltételek | www.bodrogi.com