SPECIALITÁSOK
Specialitásom a részletekre való öszpontosítás általi tökéletességre törekvés. Ez az elszántságom elsősorban esztétikai- és kozmetikai fogászati beavatkozásokban, valamint speciális implantációs technikák alkalmazásában nyilvánul meg.

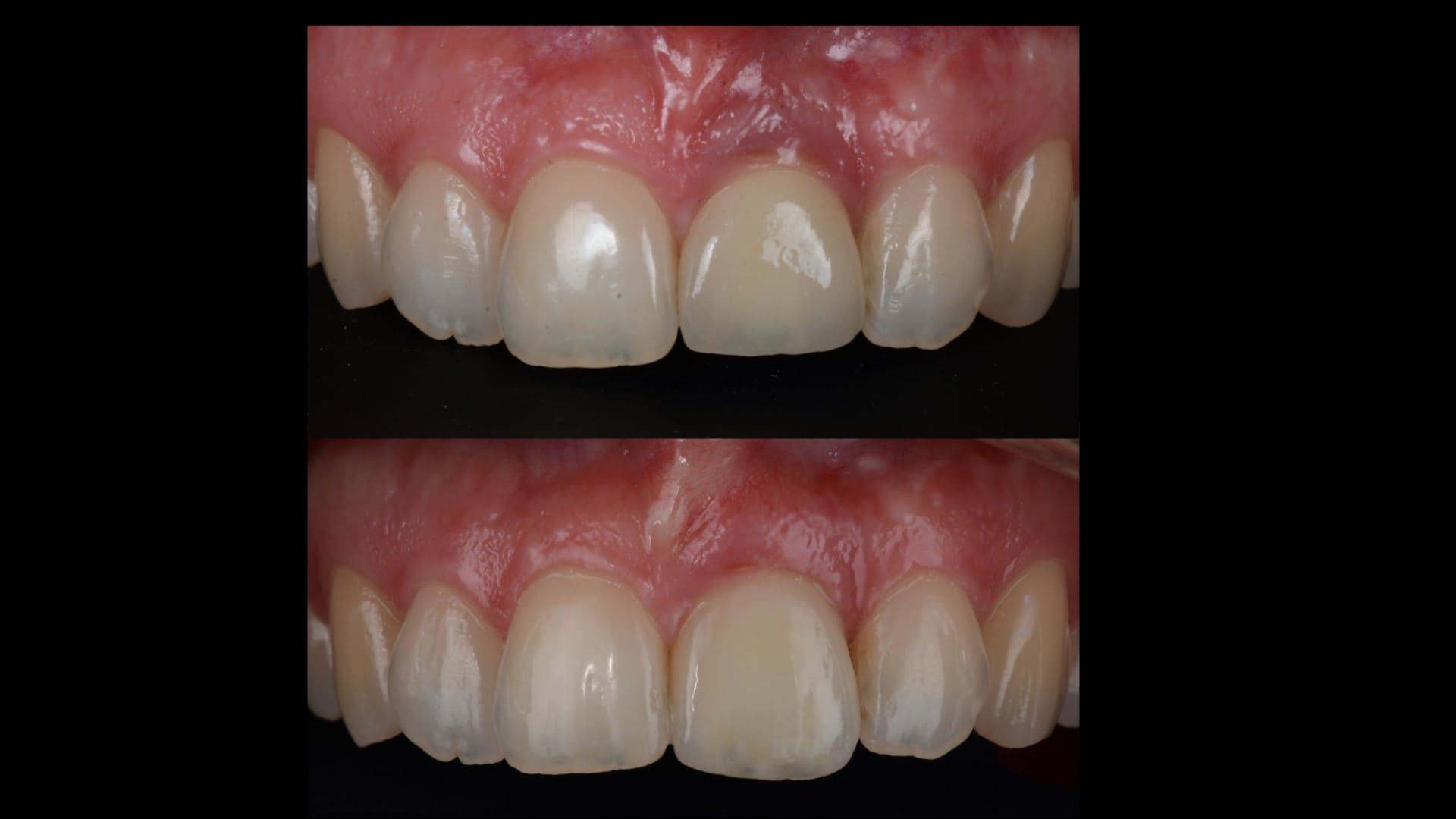
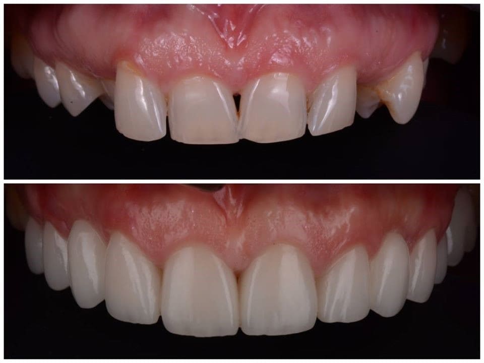
Smile makeover:
20 évnyi fémmentes kerámia restaurációkban való elmélyülés és 15 évnyi Amerikai Kozmetikai Fogászati Akadémiai tagságomnak köszönhetően a hazai és nemzetközi szakélet Magyarország talán legtapasztaltabb szakértőjeként tart számon. Az elmúlt 20 évben több ezer páciens, több, mint 15 ezer kerámia restaurációja készült el a rendelőben. Megközelítésem kulcsa az esztétika és funkció egységének megteremtése, az alkalmazott nagyértékű kerámia restaurációk hosszútávú tartósságának biztosítása. Legalább ilyen fontosnak tartom a beavatkozásaim precizitását, a nagyításban végzett kezeléseket és a minimál invazív szemléletet. Emiatt minden lépésnél operációs teleszkóp szemüveget ill. mikroszkópot használok. Az alkalmazott kerámiák művészi kivitelezéséről nyugat-európai mesterek, ill. Magyarország egyetlen Dental Technician Guild Member kerámiása gondoskodik.
A tervezett mosoly korrekció előadásaim és gyakorlati tréningeim központi eleme.

Teljes Rekonstrukciók:
Szerencsésnek tartom magam, mert még volt lehetőségem a komplex funkcionális szemlélet atyjának tartott Pete Dawson-tól tanulnom Floridában. 2005 óta vallom, csak komprehenzív módon érdemes a fogazatra, annak funkciójára és esztikájára tekinteni. Ha bármelyikben hiba, eltérés jön létre, én az okokat keresem, azokat állítom helyre és ezáltal hozom létre a változást. Kezelési tervem első pillantásra olykor meglepő lehet pácienseimnek, de a felelősen gondolkodók mind elfogadják, számomra (és saját érdekükben számukra is..) nincs más út.
Implantáció:
Azt gondolom, bárki képes egy implantátumot befúrni és becsavarni a csontba. Lényegesen kevesebben tudják jó helyre és csak nagyon kevesen tudják ellátni azokat egy tökéletes pótlással. A kihívások legfelsőbb fokán az esztétikai zóna implantációs beavatkozásai és azok restauratív ellátásai állnak. Leginkább ez utóbbi terület az én specialitásom, ebben a témában tartok előadásokat világszerte. Implantáció tekintetében a másik kulcs fontosságú terület a csont mennyisége és minősége. Tökéletes azt gondolom, bárki képes egy implantátumot befúrni és becsavarni a csontba. Lényegesen kevesebben tudják jó helyre és csak nagyon kevesen tudják ellátni azokat egy tökéletes pótlással. A kihívások legfelsőbb fokán az esztétikai zóna implantációs beavatkozásai és azok restauratív ellátásai állnak. Leginkább ez utóbbi terület az én specialitásom, ebben a témában tartok előadásokat világszerte. Implantáció tekintetében a másik kulcs fontosságú terület a csont mennyisége és minősége. Tökéletes implantációs beavatkozáshoz megfelelő mennyiségű és minőségű csont szükséges, azonban ez csak ritkán áll rendelkezésre.
Ilyenkor van szükség csontpótlásra, mely szintén magasszintű szakmai ismereteket feltételez. Ma már rendelkezésünkre állnak olyan haladó technikák, melyek segítségével elkerülhetőek (minimalizálhatóak) a foghúzást követő csontveszteségek, ill. az azonnali implantátum behelyezés is remek lehetőség egy képzett szakember kezében. Általuk csökkenthető a műtétek száma, rövidíthető a gyógyulási idő. Legújabb innovációként a digitális tervezésű, operációs sablonok és azonnali terhelésű ideiglenes pótlások teszik könnyebbé pácienseink életét.
Fogíny plasztika:
A fogak ill. implantátumok egészségének legfőbb támaszai a csont és az ínyszövet. Az íny minőségének és mennyiségének “javítása” által sokkal stabilabb (tartósabb), egészségesebb és szebb környezetet tudunk biztosítani. Ezek az eljárások szintén specialitásaim közé tartoznak.

Fizetési feltételek | www.bodrogi.com